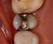
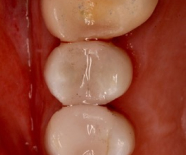
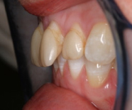
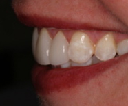
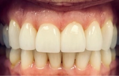
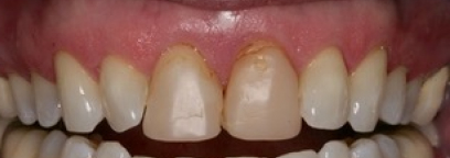
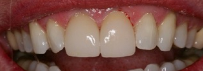
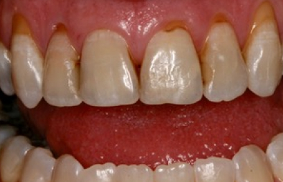
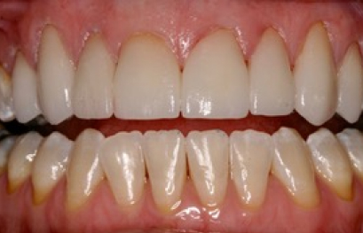
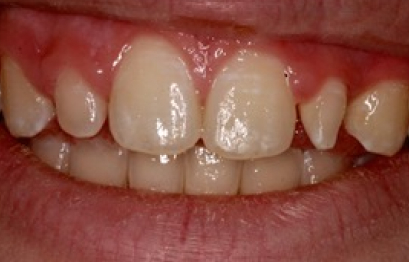
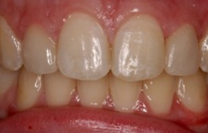
DO NOT SETTLE FOR A QUICK FIX!
Many people do not enjoy visiting the dentist, and at Lowcountry Dental Associates, we understand that. So, if you need to see our dentists to fix a problem or make an improvement to your smile, how many times do you want to come in? It may be tempting to ask Dr. Randy Jones or Dr. Robert Gamble for a quick fix, but we think you would prefer us to give you a smile that lasts.
 
  
  
  
  
  
  
  
  
  
  
  
  
  
 